This patient had a missing central tooth, which was restored with a dental implant and crown placement.
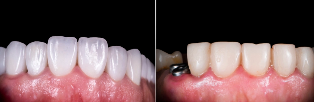
This patient had an implant placed at a missing tooth space. West Metro Dental then placed a crown over the implant.
WEST METRO DENTAL - 191 THE WEST MALL #100, ETOBICOKE, ONTARIO, M9C 5K8
FIELDGATE DENTISTRY - 3403 FIELDGATE DR, MISSISAUGA, ON. L4X2J4.
© by West Metro Dental | Powered by Elarafy | Privacy Policy | Term of Use