This patient had discoloured and crooked teeth. We used Feldspathic Ceramic Veneers that resulted in an asthetic smile.
This patient had failing old resin bonding and crooked teeth, which were replaced with 10 E-Max veneers.
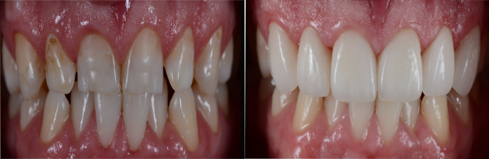
This patient had an unhappy smile (falling old resin bonding). We created a new smile with Ceramic Veneers (Feldspathic) after ST laser gum re-contouring.
This patient had decayed teeth with disharmonized gums. We used ST laser for gum re-contouring and E-Max Veneers to restore a shining smile.
Before: Patient never liked lower front teeth. After: Placement of 5 E-Max Veneers.
WEST METRO DENTAL - 191 THE WEST MALL #100, ETOBICOKE, ONTARIO, M9C 5K8
FIELDGATE DENTISTRY - 3403 FIELDGATE DR, MISSISAUGA, ON. L4X2J4.
© by West Metro Dental | Powered by Elarafy | Privacy Policy | Term of Use